Loading...
Loading...
Loading...
Opening Hrs: Sunday - Saturday: 9.30 am - 7.00 pm

smilemakeovernepal@gmail.com

9812167806, 9744234685

X-Ray

Home X-Ray
Blog Image

X-Ray

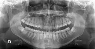
Digital dental radiography is a process that helps produce images of your mouth, just like a regular X-ray. In addition, it scans your mouth almost instantly and stores the digital images on a computer.

The process uses sensors connected to a computer to generate clearer gray-scale images. It makes it easier for the dentist to monitor, detect, diagnose, and treat oral diseases and conditions.

Image

Unlike traditional X-rays that requires film to produce the image, digital dental radiography uses digital X-ray sensors to create enhanced images. It combines electronic sensors and bursts of radiation that pass through soft tissue but are reflected by bones, making them visible. There are three main methods of achieving this:

  • Direct: records images through a digital sensor placed in the mouth.

  • Indirect: a scanner surveys traditional dental X-rays and converts them into digital format.

  • Semi-indirect: combines both digital sensor and scanner to convert an X-ray into digital images.


Get In Touch

Koteshwor Chowk, GT Mall, Beside Aakashe Pull (Sky Bridge), Kathmandu, Nepal

smilemakeovernepal@gmail.com

9812167806, 9744234685

© DiviTech Technology Pvt. Ltd.. All Rights Reserved.